矯正Q&A
目立つのがいや!
成人の方が矯正治療を受けられる大半の理由が見た目を気にしてのことです。
初対面の印象の半分は見た目で決まると言われています。接客や営業などで人前に出るケースが多い方ほど やはり歯並びを気にされる方は多いです。
しかし、人前に出ることが多いからこそ、銀色で目立つ矯正器具は付けられないと考える人も多いでしょう。
現在では、人前でも目立たない様々な種類の矯正装置が存在します。
当院では患者様のご要望やご予算等をヒアリングし、口腔内の状態を確認の上、どういった矯正治療が良いのかをお勧めいたします。
また効果の高いミニインプラントを使用した矯正も行っております。
まずはお気軽にご相談下さい。

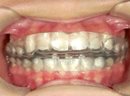
目立たない矯正装置 アクア
装置が透明なので、マウスピースをつけていることがほとんどわかりません。
また取り外し可能なので、食事や歯磨きは通常通り行えるので衛生面にも優れています。
ワイヤーを使った矯正の副作用(歯根吸収)等もないので、金属アレルギーの方でも安心して矯正治療が可能です。
メリット
- 透明で目立たなく、喋りやすい
- 取り外し可能なので、衛生的かつ食事が快適
- プラスチックなので、金属アレルギーでも大丈夫
- 比較的痛みが少ない


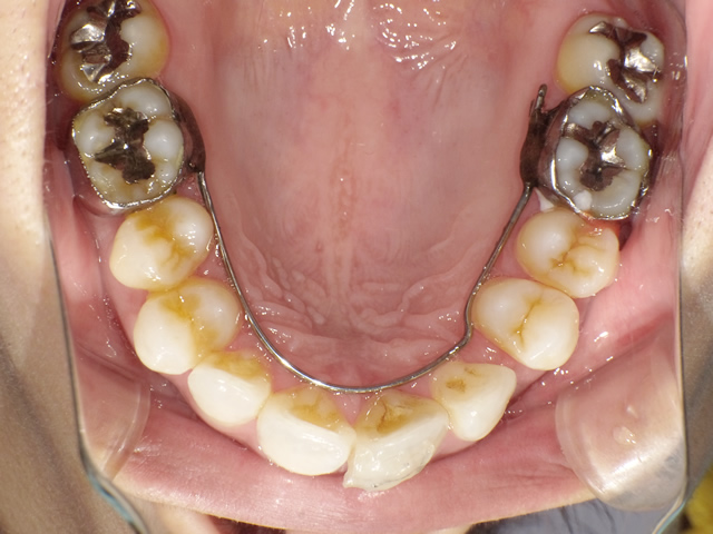
舌側 弧線装置による矯正
歯の裏側に矯正装置を付けるため、外見から分かりにくい舌側矯正といった治療があります。歯の表側に行う矯正装置と比べ、唾液で汚れ等が流れやすいといったメリットもございます。
メリット
- 表から見えないので見た目が気にならない
- 衛生的かつ食事が快適

